全口重建患者單顆植體失敗的救援策略 X-Guide 導航輔助植體重新植入
一、前言
導航植牙(dynamic navigation)能把術前假牙導向的規劃,精準地轉換成手術當下的即時導引,術中可同步監控鑽針與植體的入點、角度與深度,提升植入的可預測性。對於全口無牙或全口重建患者,傳統手術導板常因缺乏牙齒支撐而較不穩定,甚至需要額外打骨釘固定,造成傷口與侵入性增加。本病例分享在全口重建後,當右下後牙區其中一支植體骨整合失敗時,如何利用 X-Guide動態導航與「固定於既有成功植體」的客製化裝置,完成 #45 植體的救援(rescue)重新植入,並盡可能降低傷口、縮短恢復與假牙調整時間。
二、患者狀況說明
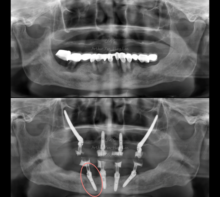
患者為 67 歲男性,有高血壓與糖尿病病史,口內檢查發現上顎缺牙下與顎嚴重牙周病,完成上下顎全口重建後約 3 個月,回診發現右下後牙區 #45植體骨整合失敗。
三、治療計畫
考量患者已進入全口重建流程,且希望降低再次手術的侵入性,我們採取「單顆植體救援重新植入」策略:
1. 利用下顎前牙區兩支已骨整合成功的植體作為固定基座。
2. 製作可用螺絲鎖附的客製化 X-Clip,提供導航手術穩定參考。
3. 以此完成 #45 植體重新植入,不需再打骨釘固定、切口更小,同時能維持既有臨時假牙的設計。

▍手術設計與術前準備
1) 客製化 X-Clip 的設計
術前請技師依「X-Clip 相對於下顎前牙兩支植體」的空間關係進行鑽孔與製作,完成可用螺絲鎖附、可重複定位的客製化 X-Clip。由於患者先前已製作臨時假牙,可直接沿用原本的模型/資料來製作 X-Clip,減少重新取模與重建流程的時間成本。
2) #45 的假牙導向規劃(prosthetically driven planning)
我們以原本的臨時假牙設計為基礎,反推 #45 的植體位置與 MUA(multi-unit abutment)方向,使術後能以最小修改方式恢復臨時假牙功能。
3) MUA screw hole 的定位
為了在手術中快速確認 MU screw hole 的方向與位置,我們請技師在規劃的 #45 區域加入一個 guide pin 的定位概念,作為術中核對方向的參考點,確保植體軸向與假牙開孔接近一致。

▍手術流程與術中重點
手術中先將客製化 X-Clip 以螺絲固定於兩支已骨整合成功的前牙植體,完成導航系統校正後,依術前規劃在 X-Guide 即時導航下進行鑽孔與植體植入。
本策略的關鍵優勢包括:
1. 參考固定穩定: X-Clip 鎖附在既有成功植體上,能提供可靠的定位與追蹤基準。
2. 切口可縮小、翻瓣較少:減少後牙區不必要的廣泛翻瓣,降低軟組織創傷。
3. 避免額外骨釘:不需為了固定導板或參考架而再打骨釘,降低侵入性與術後不適。
4. 植體方向更貼近規劃:導航可即時修正角度與深度,使 #45 植體更接近預期的軸向與位置;術前的定位標記也有助於確認 MUA screw hole 的方向符合原假牙設計。

▍利於快速銜接後續贗復作業
由於植體植入位置與角度接近術前規劃,原本的臨時假牙設計大多可保留。術後僅需將臨時假牙的 #45 位置重新開孔,即可裝回臨時假牙並恢復既定的功能與咬合設計,大幅減少假牙重製與回診時間。

四、結語
對於全口無牙或全口重建患者,若其中單一植體骨整合失敗,使用 X-Guide 動態導航進行「rescue 重新植入」是一種流程清楚、侵入性低且可預測性高的解決方案。透過鎖附在既有成功植體上的客製化 X-Clip 作為穩定參考,不僅能縮小傷口、避免額外骨釘,也能讓植體位置更貼近假牙導向規劃,並以最小修改保留原臨時假牙設計,提升病患舒適度與整體治療效率。