使用導航執行zygoma implant,分階段處理方式
▍患者狀況說明
62歲男性,就診時,左側慢性鼻竇炎,曾接受過FESS手術處理,沒有慢性疾病,抽菸已戒除。
患者主訴:牙齒鬆動,後牙區缺失。
▍治療過程
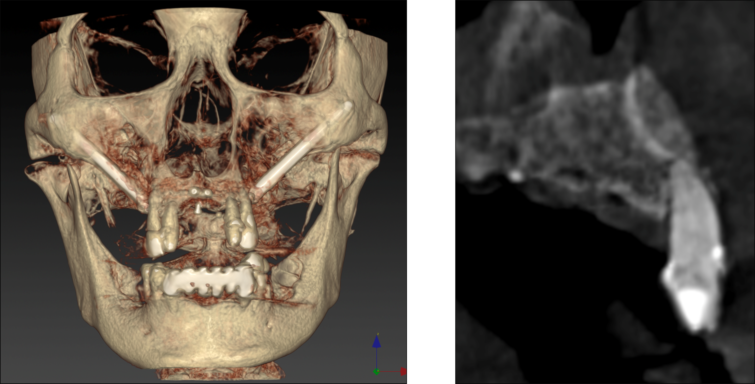
處理過程:口腔衛生不佳,上顎骨後牙區鼻竇底Crestal bone很薄,前牙區basal bone也很窄。因此採用staged zygoma implants 治療方式。
變通原因:因前牙牙齒尚可支撐,先製作臨時假牙維持美觀。後牙區採取二階段植牙重建Zygoma implants手術,合併Sinuns augmentation減少Oroantral communication風險。
避免風險:男性,對牙真牙,不平衡咬合。staged approach可避免immediate loading喪失骨整合的風險,也可減少Zygoma implant loading後造成Oroantral communication 的可能性。staged approach可等待植體骨整合及隔絕Sinus membrane與口腔相通。等待期間還可加強口腔衛生教育。
▍手術前 特殊案例思考
Poor oral hygiene and very thin residual crestal bone height

1.Oral hygiene and disease control
2.11,21 ext. + 12-22 temp bridge
3.15,25 staged zygoma implant
4.UA contour GBR

15,25 staged zygoma implant surgery + sinus augmentation & UA contour GBR

▍第二次手術 thin sinus wall
4 個月後, 前牙區basal bone GBR有癒合,進行 #12,22 植牙,完成上顎All-on-5手術

第二次當日手術後進行Navigated Photogrammetry

▍上顎裝戴正式假牙

▍正式假牙術後Pano
